소개
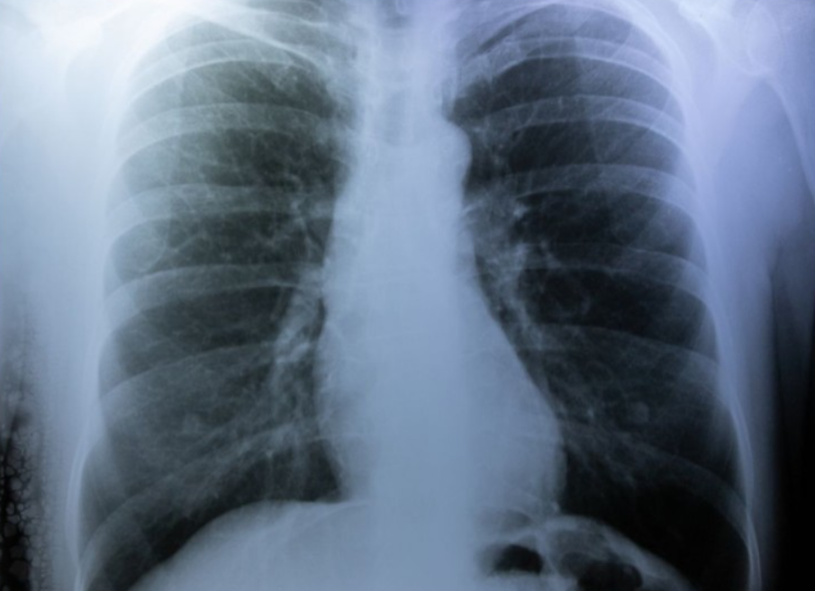
폐 기흉(Pneumothorax)은 폐에서 공기가 흉강으로 새어 나가 폐가 축소되는 상태를 말합니다. 이는 폐에서 공기가 비정상적으로 흘러나가 흉강에 공간이 형성되어 발생하며, 일반적으로는 흉곽 속에 위치한 폐에 손상이나 관련 질환이 있을 때 발생합니다. 폐 기흉은 호흡곤란, 가슴 통증 및 기타 증상을 유발할 수 있으며, 적절한 관리와 예방이 중요합니다.

증상
폐 기흉(Pneumothorax)의 주요 증상은 다음과 같습니다.
- 가슴 통증: 폐 기흉의 가장 흔한 증상으로, 흉부 특히 가슴 한쪽에서 급격한 통증을 느낄 수 있습니다. 통증은 갑자기 시작되고, 가슴의 어느 한 부분에서 특히 흉골 아래쪽에서 느껴집니다.
- 호흡곤란: 폐 기흉으로 인해 흉강에 공기가 새어 나가면 폐가 축소되어 호흡이 어려워집니다. 호흡곤란은 폐 기흉의 심각도에 따라 다르며, 중증일 경우에는 호흡이 어려워지고 빈도가 늘어날 수 있습니다.
- 가슴 불편감: 폐 기흉으로 인해 가슴이 불편하게 느껴질 수 있습니다. 이런 불편감은 흉부의 어느 부분에서든 느껴질 수 있으며, 종종 통증과 함께 나타납니다.
- 두근거림 및 현기증: 심각한 폐 기흉인 경우에는 가슴 통증과 함께 두근거림, 현기증, 구토, 피로감 등의 증상이 나타날 수 있습니다.
- 기타 증상: 폐 기흉이 심각한 경우에는 두통, 목소리의 변화, 발한, 식욕 부진 등의 다양한 증상이 나타날 수 있습니다.
원인
폐 기흉(Pneumothorax)은 폐 내부에 있는 공기가 흉강(가슴속의 공간)으로 새어 나가는 상태를 말하며, 주로 다음과 같은 원인에 의해 발생할 수 있습니다.
- 외상적인 손상: 가슴이나 폐에 외부 충격을 받았을 때, 폐에 구멍이 나거나 무기흉(치료되지 않은 기흉)이 폭발적으로 발생할 수 있습니다.
- 기흉성 폐질환: 기흉성 폐질환은 폐 조직의 손상으로 인해 기흉이 발생할 수 있습니다. 폐 결절, 기흉성 기관질환 등이 이에 해당합니다.
- 기흉성 기관질환: 기흉성 기관질환은 기관의 비정상적인 확장으로 인해 발생할 수 있습니다. 폐포류증, 기흉성 폐렴, 기흉성 폐농양 등이 포함됩니다.
- 폐종양: 악성 종양이나 양성 종양이 폐에 압력을 가해 구멍이 나면서 폐 기흉이 발생할 수 있습니다.
- 압력 변화: 고산지에서 급격한 기압 변화가 발생하면, 폐 내부의 공기가 확장되거나 수축하여 폐 기흉을 유발할 수 있습니다.
- 의료적 조치 및 시술: 폐 생검, 삽관, 천자 등의 의료적 조치나 시술 과정에서 폐에 손상이 발생하여 기흉이 나타날 수 있습니다.
폐 기흉의 발생은 주로 폐 내부의 공기가 비정상적으로 흐르거나 새어 나가면서 발생하며, 이러한 원인들에 의해 유발될 수 있습니다. 폐 기흉이 의심되는 경우에는 즉시 의료 전문가와 상담하여 적절한 진단과 치료를 받는 것이 중요합니다.
예방
폐 기흉(Pneumothorax)을 예방하기 위해 다음과 같은 조치들을 고려할 수 있습니다.
- 안전장비 착용: 스포츠나 위험한 활동을 할 때는 안전 장비를 착용하여 가슴을 보호하고 외상을 예방합니다.
- 안전운전: 교통사고를 예방하기 위해 안전운전 규칙을 준수하고 운전 중에는 안전벨트를 착용하세요.
- 폐 질환의 관리: 폐 건강 유지: 흡연을 피하고 흡연자는 금연을 시도하여 폐 건강을 유지하세요.
- 폐 질환 관리: 만약 폐에 관련된 기질적인 질환을 앓고 있다면 의사의 지시에 따라 꾸준한 치료 및 관리를 받으세요.
- 고산지 방문 시 주의: 고산지를 방문할 때는 기압 변화에 따른 폐에 가해지는 영향을 고려하고 천천히 적응하도록 노력하세요.
- 건강 검진: 규칙적으로 건강 검진을 받아 폐 건강을 확인하고, 의사의 조언에 따라 필요한 예방 조치를 취하세요.
- 신체 활동 유지: 꾸준한 운동 및 신체 활동을 통해 폐 기능을 향상하고, 호흡 기능을 유지하세요.
폐 기흉을 예방하기 위해서는 위의 조치들을 지속적으로 실천하고, 폐 건강에 대한 지식을 확장하여 건강한 생활습관을 유지하는 것이 중요합니다.
결론
폐 기흉은 폐에서 공기가 비정상적으로 흘러나가 폐가 축소되는 상태를 의미하며, 가슴 통증, 호흡곤란 등의 증상을 유발할 수 있습니다. 외상, 폐 질환, 압력 변화 등이 주된 원인으로 작용할 수 있으며, 예방을 위해 안전장비 착용과 의료 전문가의 지속적인 상담이 필요합니다. 적절한 관리와 조기 발견은 폐 기흉의 합병증을 예방하고 치료에 중요한 역할을 합니다. 무엇보다도, 폐 기흉에 대한 적절한 지식과 의학적 지원을 통해 환자들의 건강을 돌보는 것이 필요합니다.